مياه على الرئة
تعرف بالوذمة الرئوية، أو استسقاء الرئة وباللغة الإنجليزية pulmonary edema، وهي الحالة التي تمتلئ فيها الرئتين بالسوائل، وتتمثل مشكلة الجسم في حالة إصابته بالمياه على الرئة، في صعوبة الحصول على القدر الكافي والملائم من الأكسجين ومن ثم يعانيه الإنسان من ضيق التنفس.
- هو مرض يصيب رئة الإنسان , يمكن أن يصيب جميع الأعمار , وإهماله قد يسبب الوفاة , والرئتان وضعهما حساس جدا في الجسم، وعند إصابتهما بأي علة تؤثر على قدرتهما في أداء وظيفتهما فإن حياة المريض تكون مهددة بالخطر .
- وتحدث نتيجة إصابة أجهزة مختلفة من الجسم مثل القلب , الجلطات الدموية , الفشل الكلوي , وتسبب للإنسان صعوبة في التنفس وألم أثناء عملية التنفس شديدة عن الشكل الطبيعي للتنفس.
- هذا التعريف يعبر عن تكون وتجمع السوائل بين الأغشية المحيطة بداخل الرئة والغشاء البلوري المحيط بخارج الرئة الذي يعتبر درع واقي للرئة
وصف الرئة الطبيعية للإنسان
قبل البدء في ذكر مياه على الرئة أعراضها وأسبابها والوقاية منها، فسوف نوضح من خلال النقاط التالية، وصف الرئة الطبيعية للإنسان وذلك فيما يلي:
- تعتبر الرئتان جزء من الجهاز التنفسي
- ويتمثل ارتفاع كل رئة بحوالي 20 سم وعرضها 9 سم
- كثافة الرئة أقل من كثافة الماء
- تختلف الرئتان من حيث الوزن، حيث إن الرئة اليمنى يبلغ وزنها 700 جرام تقريبا , بينما وزن الرئة اليسرى 600 جرام تقريبا.
- تنقسم الرئة اليمنى إلى ثلاثة أقسامٍ بينما تنقسِم الرئة اليسرى إلى قسمين.
- الرئة اليمنى أكبر حجماً من الرئة اليسرى، حيث تقع الرئة اليمنى على ارتفاع أقل من الرئة اليسرى بسبب وجود الكبد فوقها وضغطه عليها للأسفل.
- تشبه الرئة قطعة الإسفنج.
- تقوم الرئتان بتخزين كمية من الدم كاحتياطي لوقت الحاجة
- تقوم الرئة بعملية التنفس، حيث تسمح للهواء المحمل بالأوكسجين بالدخول إليها من خلال عملية الشهيق.
- وتسمح للغازات التي تحتوي على ثاني أكسيد الكربون بالخروج من خلال عملية الزفير.
أنواع الإصابة بالمياه على الرئة
أولا : يوجد حالة تتجمع بها المياه بين القفص الصدري والرئتين ويطلق عليه الفراغ البلوري، ويتم اكتشاف الحالة عن طريق التصوير الشعاعي وتكون معالجتها بسيطة
ثانيا : هي الحالة الأكثر شيوعاً وهي تجمع السوائل والمياه في الشعيرات الدموية الموجودة داخل الرئة
أعراض وجود مياه على الرئة
عندما تحدث الوذمة الرئوية، يصعب على الجسم الحصول على القدر الكافي من الأكسجين، ويحدث ذلك نتيجة للسوائل التي توجدة في الحويصلات الرئوية التي تعمل على إعاقة مرور الأكسجين إلى مجرى الدم، وتتمثل أعراض وجود المية على الرئة بناء على نوعها وذلك فيما يلي:
أعراض مياه على الرئة طويلة الأجل
- أول وأهم الأعراض هو وجود صعوبة في التنفس.
- التعب والإرهاق من أقل مجهود.
- انتفاخ الجسم والأطراف.
- ارتفاع حرارة الجسم الطبيعية.
- وجود ألم في الجهة أو المنطقة المصابة بتجمع المياه على الرئة.
- وجود قشعريرة بالجسم.
- عدم استطاعة المريض على النوم والأرق.
- السعال والكحة.
- وجود فقاعات ماء تنزل مع البلغم.
أعراض مياه على الرئة في الأماكن المرتفعة
تتمثل أعراض الوذمة الرئوية التي تأتي نتيجة مرض المرتفعات، أو نتيجة لعدم وجود كمية كافية من الأكسجين بطبقات الجو العليا وهذه الأعراض كالآتي:
- الشعور بالصداع.
- عدم انتظام ضربات القلب.
- الشعور بضيق التنفس، بعد بذل أي من المجهود أو من خلال الراحة.
- السعال المستمر.
- الصعوبة في المشي.
أسباب تكون مياه الرئة
نوضح من خلال النقاط التالية ما هي أسباب تكون المياه على الرئة وذلك فيما يلي:
- التدخين بشراهة لفترات طويلة
- استنشاق والعيش في الهواء الملوث
- إصابة العظم الموجود حول الرئة بكدمات أو صدمات مختلفة
- أمراض القلب مثل القصور والضعف في عضلة القلب
- أورام الثدي الحميدة والخبيثة
- ارتفاع ضغط الرئة
- ارتفاع الألبيومين في الدم
- الفشل الكلوي والكبدي
- التهابات الجهاز التنفسي
- مرض الدرن
- التهاب القصيبات الهوائية
- التهاب أغشية الرئة
- الإصابة بالروماتيزم
- ارتفاع ضغط الدم الحاد
- الإصابة بالجلطات
- التدرن البلوري
كيفية الوقاية والعلاج من مرض مياه الرئة
هناك بعض النصائح الوقائية التي يجب أن تأخذ بعين الاعتبار، للوقاية من مرض مياه الرئة، وهذه النصائح على النحو التالي:
- عدم إهمال حالة المريض عند ظهور أي علة بالجسم وأخذ العلاج اللازم وهذه الأمراض مثل أمراض القلب , السكر ,الروماتيزم , الفشل الكلوي , التهاب الكبد , وأضرار التدخين , حيث كل الأمراض السابقة تسبب تجمع مياه الرئة .
- الكشف المنظم والدوري لاكتشاف أي مرض بشكل مبكر ومعالجته حتى لا تتدهور الحالة الصحية للمريض ويصاب بالمياه على الرئة .
- في حالة اكتشاف وجود مياه على الرئة يجب الذهاب إلى الطبيب بسرعة لإجراء الفحوصات اللازمة وتحديد أسباب حدوثها وعلاجه
- وعلاج مثل هذه الحالات يكون عن طريق أخذ عينة من السائل الموجود على الرئة، ويتم فحصه وإجراء اللازم له للتأكّد من السبب الرئيسي من تكون الماء الموجود على الرئة.
- ويكون علاج الحالات البسيطة بالإصابة بمياه الرئة عبارة عن شفط المياه من المكان المصاب في الرئة بواسطة إدخال أنبوب بلوري للرئتين عن طريق الفم , ويتم سحب المياه وهي عملية غير مؤلمة .
- يجب تقليل الملح في الطعام وعدم تناول المخلل.
- تقليل السوائل الداخلة للجسم خصوصا المشروبات الغازية.
- تناول أدوية مدرة للبول.
- علاج ضعف عضلة القلب.
الأشخاص الأكثر عرضة لحدوث المياه على الرئة
تتمثل الأشخاص الأكثر عرضة للإصابة بالوذمة الرئوية، فيما يلي:
- الأشخاص من هم يعانون من الخلل في الأوعية الدموية أو في الدم بصورة عامة.
- الأفراد الذين يعانون من مشكلات في القلب أو قصور في القلب.
- من هم لديهم تاريخ عائلي للإصابة بالوذمة الرئوية.
- التاريخ العائلي للإصابة بأي من أمراض الرئة مثل السل أو الانسداد الرئوي.
تشخيص المياه على الرئة
يبدأ الطبيب المختص بتشخيص الحالة، للتأكد من إصابة المريض بالمياه على الرئة، كما يلاحظ الأعراض التي تنتج عن وجود هذه السوائل، فيبدأ بالفحص البدني من خلال السماعة ومن ثم يراقب الآتي:
- التسارع في عملية التنفس.
- زيادة معدل ضربات القلب.
- سماع صوت طقطقة في الرئة.
- التصنت إلي أي من الأصوات الغير طبيعية في القلب.
- ويقوم الطبيب كذلك بفحص الرقبة والساقين ويراقب مدى وجود علامات ترمز إلى تراكم السوائل بها أو وجود أي من علامات التورم.
- ومن الجدير بذكره أن لون الجلد يعد من العلامات المؤشرة على وجود الوذمة الرئوية، فترمز البشرة الشاحبة أو الزرقاء علبي وجود المياه على الرئتين.
- يبدأ الطبيب بعد ذلك بإجراء بعض الاختبارات المخبرية للتأكد من الوذمة الرئوية وهي كالآتي:
- فحص الدم الشامل.
- قياس نسبة الأكسجين في الدم.
- التحقق من نشاط القلب الغير طبيعي من خلال الموجات فوق الصوتية.
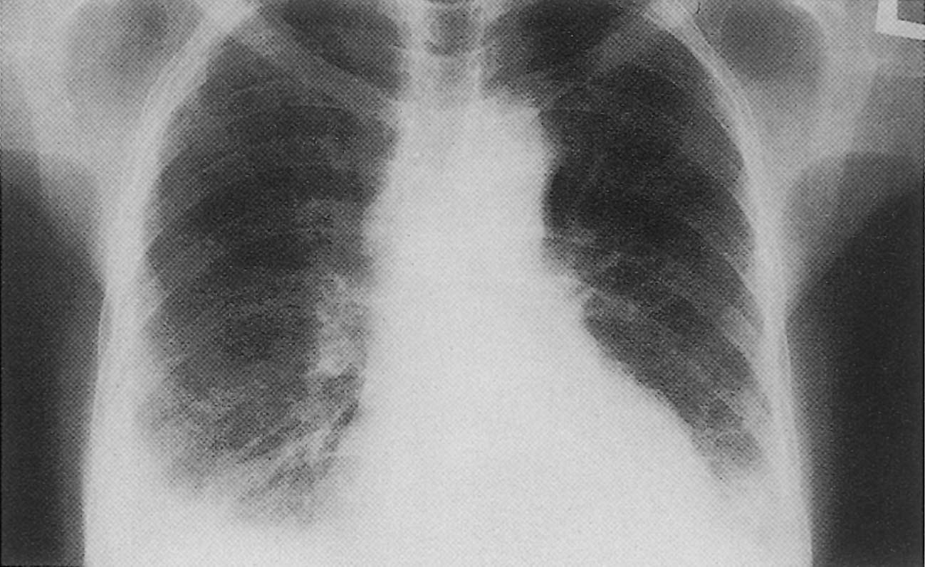
- تصوير الصدر بالأشعة السينية وذلكم ليتمكن الطبيب من مشاهدة السوائل على الرئة.
ما هي مضاعفات المياه على الرئة؟
تتمثل من أهم المضاعفات الرئيسية، في حالة الوذمة الرئوية باصاية الجهاز التنفسي بالتعب المستمر، ومن الجدير بالذكر أن التشخيص المبكر يحد من هذه المضاعفات، وتتمثل كذلك من مضاعفات الإصابة بالمياه على الرئة السكتة القلبية المفاجئة التي ينتج عنها عدم انتظام ضربات القلب، التي تعتبر من خطر مضاعفات المياه على الرئة.
أسئلة شائعة
مدى خطورة وجود مياه على الرئة
تتمثل خطورة وجود مياه على الرئة بتهديد حياة المريض، إلى أنت تؤدي إلى الوفاة.
هل يمكن الشفاء من مياه الرئة؟
الإجابة نعم، ويحدد علاج مرض مياه الرئة بناء على الحالة المرضية، وتشمل أدوية علاج مياه الرئة بمدرات البول، التي تقلل من الضغط على الرئتين من خلال سحب المياه من الرئة، وتخليص الجسم من السوائل الزائدة من خلال عملية التبول، بالإضافة إلى أدوية موسعات الأوعية الدموية التي تقلل من الضغط على القلب والرئتين، وأدوية القلب التي تقلل من ارتفاع ضغط الدم وتنظيم نبض القلب.