موسوعة كيف

كيف تزيل الأشعة السينية جمال المرء وحسنه

⏱ 1 دقيقة قراءة
كيف تزيل الأشعة السينية جمال المرء وحسنه

كيف تزيل الأشعة السينية جمال المرء وحسنه

هناك العديد من وسائل الفحص التي تساعد على تشخيص مختلف الأمراض، حيث أن وسائل الفحص تتميز بالدقة في تصوير أعضاء وأجهزة الجسم من الداخل، مما يساعد الأطباء على معرفة الخلل المسبب للأمراض، ومن أبرز أنواع الوسائل المستخدمة في التشخيص الأشعة السينية أو أشعة X Ray والتي تساعد الأطباء على التوصل إلى العلاج المناسب، وفيما يلي في موسوعة نوضح لك كيف تعمل الأشعة على إزالة الجمال:

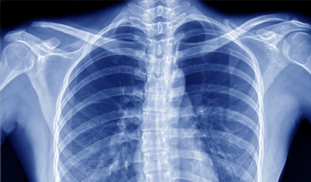
  • عندما يتم تصوير الجسم من الداخل فإنه في تلك الحالة تزيل الأشعة السينية جمال المرء وحسنه.
  • وذلك يعود إلى الدقة في تصوير شكل الجسم من الداخل حيث أنها تبرز شكل الهيكل العظمي بالكامل، وهذا يؤدي إلى إبراز شكل مغاير تمامًا لشكل الجسم من الخارج، وبالتالي تفقده جماله.
  • يتراوح الطول الموجي في الأشعة الكهرومغناطيسية بين 10 بيكومتر و10 نانومتر، بطاقة تتراوح ما بين 124 إلكترونفوليت و124 كيلو إلكترونفوليت.
  • يعود تاريخ اكتشاف الأشعة السينية إلى عام 1895م على يد العالم الألماني وليام رونتجن بجامعة فورتسبورغ، وبسبب هذا الاكتشاف فقد حاز على جائزة نوبل.
  • تتسم الأشعة السينية بالعديد من الخصائص والتي من أبرزها أنها لا تُرى، إلى جانب أن اتجاه سيرها يكون مستقيم، بالإضافة إلى قدرتها على النفاذ لداخل الجسم.

ما هي الأشعة السينية

  • يشير مفهوم الأشعة السينية إلى استخدام الأشعة الكهرومغناطيسية باستخدام جهاز تصدر منه هذه الأشعة.
  • عندما تتوجه الأشعة إلى جهة الجسم فإنه يتم التقاط صورة له، وهو صورة داخلية للجسم تتضمن شكل الأعضاء بدقة.

دواعي استعمال الأشعة السينية

يطلب الأطباء تشخيص بعض الحالات باستخدام الأشعة السينية، وتتمثل الحالات المرضية التي تتطلب استخدام هذه الأشعة ما يلي:

  • حالات آلام الأسنان.
  • حالات الإصابة بتسوس في الأسنان.
  • حالات اضطرابات الجهاز الهضمي.
  • حالات الإصابة بتضخم القلب.
  • حالات آلام العظام.
  • حالات الإصابة بانسداد الأوعية الدموية.

آلية عمل الأشعة السينية

  • تستخدم الأشعة السينية عبر توجيهها إلى المنطقة المراد تشخيصها، وتنفذ الأشعة إلى الجلد مخترقة العضو إلى الداخل.
  • تطلق الأشعة نبضات قصيرة عندما تتوجه إلى المنطقة المراد فحصها.
  • تبرز صور الأشعة بيضاء اللون أما عن الأجزاء التي يتم فحصها فتكون سوداء اللون.

أنواع الأشعة السينية

تنقسم الأشعة السينية إلى عدة أنواع والتي تشمل ما يلي:

التصوير الإشعاعي

  • يستخدم التصوير الإشعاعي بشكل شائع مقارنةً بالأنواع الأخرى، ويعتمد على نسبة قليلة من الأشعة عند الاستخدام.
  • يستخدم التصوير الإشعاعي في حالات تشخيص الأسنان أو الصدر أو العظام.

التصوير المقطعي المحوسب

  • يعتمد التصوير المقطعي المحوسب على كمية أكبر من الإشعاع عند الاستحدام، وفيه يتم التقاط صور ثلاثية الأبعاد من خلال الماسح الضوئي.
  • يستخدم الماسح الضوئي اعتمادًا على الأشعة السينية، وذلك عندما يكون المريض في وضع الاستلقاء.

التنظير الفلوري الإشعاعي

  • يعتمد التنظير الفلوري على استخدام كمية أكبر من الكمية المستخدمة في التصوير الإشعاعي، ويستخدم بشكل شائع في تصوير القناة الهضمية من الداخل.
  • يتم فحص القناة الهضمية من الداخل من خلال تناول المريض مشروب يشتمل على الباريوم.

فوائد الأشعة السينية

هناك العديد من مزايا الأشعة السينية التي تجعلها واحدة من أبرز أنواع وسائل التشخيص الأكثر شيوعًا، وتتمثل أهميتها في التالي:

  • تلعب دور حيوي في تشخيص العديد من الأمراض، وهذا بدوره يساعد الطبيب على إعطاء المريض العلاج الصحيح والمناسب لحالته.
  • من العوامل المساعدة في علاج حالات الإصابة بالأورام.
  • تساعد على علاج حالات التجلطات الدموية.
  • تعمل على تسهيل علاج الأمراض سواء بالأدوية أو بالجراحة.
  • تلعب دور مساعد للأطباء في عمليات القسطرة في رؤية الجزء من الداخل بوضوح خلال العملية.

أضرار الأشعة السينية

على الرغم من الفوائد المتعددة للأشعة السينية إلا أنها تتضمن العديد من المخاطر والتي تشمل ما يلي:

  • تزيد من احتمالية التعرض لتساقط الشعر في حالة تلقي معدلات مرتفعة منها.
  • تساهم في زيادة احتمالية الإصابة بالسرطان، وخاصةً في حالة التعرض إليها بشكل مستمر، ويشيع ذلك على وجه التحديد بين السيدات.
  • تتسبب في احمرار الجلد في حالة التعرض لمعدلات عالية منها.
  • قد يتسبب في ظهور أعراض تحسسية من أبرزها الحكة والغثيان والدوار.
  • أما عن الأعراض الجانبية النادرة فإنها ينتج عنها توقف في عضلة القلب.

المراجع

1

مقالات ذات صلة